科大联同北京天坛医院研究人员发现引致脑海绵状血管瘤的新元凶
为非入侵性诊断及治疗奠定重要基础
香港科技大学(科大)及北京天坛医院的研究团队近日发现一个新的突变基因,可导致一种名为「脑海绵状血管瘤」(Cerebral Cavernous Malformation, CCM)的脑血管病变。目前全球约有一千至三千万的人士患有此症。
虽然科学家已知CCM1、CCM2及CCM3是引致CCM的三个突变基因,但三个基因主要影响有家族遗传性的CCM病患,而他们只占所有CCM个案的百分之二十。余下的百分之八十非家族遗传个案,至今成因仍然不明。
如今,由生命科学部兼化学及生物工程学系助理教授王吉光以及北京天坛医院曹勇教授带领的研究团队,分析了113名CCM患者的基因组数据后,发现于四种CCM患者当中,几乎所有于脑血管中长有爆谷形状肿瘤,亦即四种CCM患者中属最为普遍的二型1的患者,均出现一个名为「MAP3K3 c.1323C>G」基因突变。
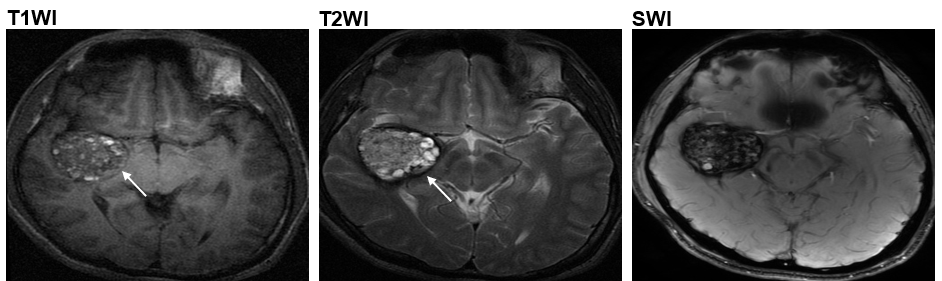
现时,磁力共振成像(MRI)是一种医生常用于诊断CCM的「非入侵性」方法。然而,MRI只能让医生知道血管瘤的大小及类别;至于是哪一个基因突变导致CCM,医生一般则只能透过手术以及化验得知。不过,科大研究团队设计了一个计算机程序,可以评估MRI 影像所显示的血管瘤与MAP3K3 c.1323C>G基因突变关系的概然率。因此,病人毋须「开刀」便得知是否存在MAP3K3 c.1323C>G基因突变,不但能减低施手术可能带来的脑出血或脑神经功能缺损等风险,亦可令病者及早展开更针对性的治疗。
科大王教授表示﹕「研究除了为CCM的基因图谱开辟新方向,也为MAP3K3 c.1323C>G基因突变与CCM二型患者的关联性带来线索。团队设计的计算机程序,又称决策树模型(decision tree model),为实现CCM基因的非入侵性诊断迈进一步。我们希望有关发现可以有助找出治疗CCM的新靶标,促进药物发展,在不久的将来惠及病人。」
研究成果已在科学期刊《The American Journal of Human Genetics》发表。
1于四种CCM中,CCM二型最为普遍 https://www.ncbi.nlm.nih.gov/pmc/articles/PMC6924279/
有关香港科技大学
香港科技大学(科大)(https://www.hkust.edu.hk/)是国际知名的研究型大学,其科学、工程、商业管理及人文社会科学领域,均臻达世界一流水平。科大校园国际化,提供全人教育及跨学科研究,培育具国际视野、创业精神及创新思维的优秀人才。逾八成的科大研究,於香港的大学教育资助委员会「2020研究评审工作」被评为「国际卓越」或「世界领先」水平。我們於最新的《泰晤士高等教育全球年轻大学排名榜2020》中排行第一,而科大的毕业生在2020年度的全球大学就业能力调查排名第26位,為亚洲院校前列。
传媒查询:
林淑媛
电话﹕2358 6313
电邮﹕anitalam@ust.hk
王敬莲
电话﹕2358 6306/ 5190 7882
电邮﹕lindywong@ust.hk
有关香港科技大学
香港科技大学(科大)(https://www.hkust.edu.hk/)是国际知名的研究型大学,其科学、工程、商业管理及人文社会科学领域,均臻达世界一流水平。科大校园国际化,提供全人教育及跨学科研究,培育具国际视野、创业精神及创新思维的优秀人才。逾八成的科大研究,於香港的大学教育资助委员会「2020研究评审工作」被评为「国际卓越」或「世界领先」水平。我們於最新的《泰晤士高等教育全球年轻大学排名榜2020》中排行第一,而科大的毕业生在2020年度的全球大学就业能力调查排名第26位,為亚洲院校前列。

