科大聯同北京天壇醫院研究人員發現引致腦海綿狀血管瘤的新元兇
為非入侵性診斷及治療奠定重要基礎
香港科技大學(科大)及北京天壇醫院的研究團隊近日發現一個新的突變基因,可導致一種名為「腦海綿狀血管瘤」(Cerebral Cavernous Malformation, CCM)的腦血管病變。目前全球約有一千至三千萬的人士患有此症。
雖然科學家已知CCM1、CCM2及CCM3是引致CCM的三個突變基因,但三個基因主要影響有家族遺傳性的CCM病患,而他們只佔所有CCM個案的百分之二十。餘下的百分之八十非家族遺傳個案,至今成因仍然不明。
如今,由生命科學部兼化學及生物工程學系助理教授王吉光以及北京天壇醫院曹勇教授帶領的研究團隊,分析了113名CCM患者的基因組數據後,發現於四種CCM患者當中,幾乎所有於腦血管中長有爆谷形狀腫瘤,亦即四種CCM患者中屬最為普遍的二型1的患者,均出現一個名為「MAP3K3 c.1323C>G」基因突變。
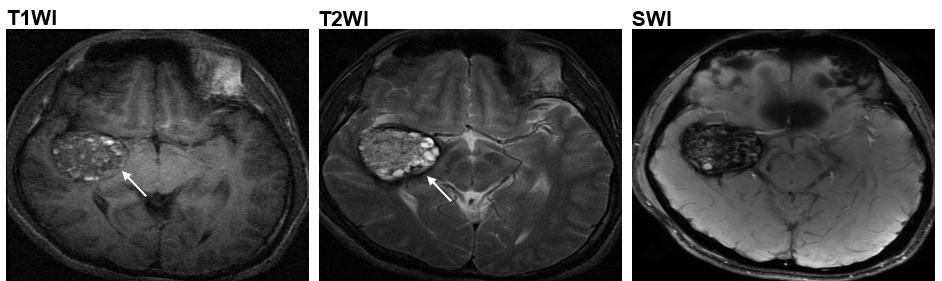
現時,磁力共振成像(MRI)是一種醫生常用於診斷CCM的「非入侵性」方法。然而,MRI只能讓醫生知道血管瘤的大小及類別;至於是哪一個基因突變導致CCM,醫生一般則只能透過手術以及化驗得知。不過,科大研究團隊設計了一個電腦程式,可以評估MRI 影像所顯示的血管瘤與MAP3K3 c.1323C>G基因突變關係的概然率。因此,病人毋須「開刀」便得知是否存在MAP3K3 c.1323C>G基因突變,不但能減低施手術可能帶來的腦出血或腦神經功能缺損等風險,亦可令病者及早展開更針對性的治療。
科大王教授表示﹕「研究除了為CCM的基因圖譜開闢新方向,也為MAP3K3 c.1323C>G基因突變與CCM二型患者的關聯性帶來線索。團隊設計的電腦程式,又稱決策樹模型(decision tree model),為實現CCM基因的非入侵性診斷邁進一步。我們希望有關發現可以有助找出治療CCM的新靶標,促進藥物發展,在不久的將來惠及病人。」
研究成果已在科學期刊《The American Journal of Human Genetics》發表。
1於四種CCM中,CCM二型最為普遍 https://www.ncbi.nlm.nih.gov/pmc/articles/PMC6924279/
有關香港科技大學
香港科技大學(科大)(https://www.hkust.edu.hk/)是國際知名的研究型大學,其科學、工程、商業管理及人文社會科學領域,均臻達世界一流水準。科大校園國際化,提供全人教育及跨學科研究,培育具國際視野、創業精神及創新思維的優秀人才。逾八成的科大研究,於香港的大學教育資助委員會「2020研究評審工作」被評為「國際卓越」或「世界領先」水平。我們於最新的《泰晤士高等教育全球年輕大學排名榜2020》中排行第一,而科大的畢業生在2020年度的全球大學就業能力調查排名第26位,為亞洲院校前列。
傳媒查詢:
林淑媛
電話﹕2358 6313
電郵﹕anitalam@ust.hk
王敬蓮
電話﹕2358 6306/ 5190 7882
電郵﹕lindywong@ust.hk
有關香港科技大學
香港科技大學(科大)(https://www.hkust.edu.hk/)是國際知名的研究型大學,其科學、工程、商業管理及人文社會科學領域,均臻達世界一流水準。科大校園國際化,提供全人教育及跨學科研究,培育具國際視野、創業精神及創新思維的優秀人才。逾八成的科大研究,於香港的大學教育資助委員會「2020研究評審工作」被評為「國際卓越」或「世界領先」水平。我們於最新的《泰晤士高等教育全球年輕大學排名榜2020》中排行第一,而科大的畢業生在2020年度的全球大學就業能力調查排名第26位,為亞洲院校前列。

